Что такое панорамный снимок: , (. ) (. ), 7001000 .
Панорамный снимок зубов. Зачем он нужен?
Планирование лечения зубов и его проведение сегодня не обходится без рентгенологических методов диагностики – прицельного снимка зуба, панорамного снимка зубочелюстной системы (ортопантомограммы) и компьютерной томографии. И сегодня мы хотим поговорить с Вами о панорамном снимке. Именно такое исследованиедля большинства стоматологов является «золотым стандартом» при «знакомстве» с пациентом – он необходим и для терапевта, и для хирурга, и для ортодонта.«Зачем же нужен панорамный снимок зубов? Где его можно сделать и сколько это будет стоить?» – это самые часто задаваемые вопросы пациентами, на которые мы хотим ответить в этой статье.Еще раз о том, что такое панорамный снимок зубов
Панорама (ортопантомограмма, ОПТГ, панорамный снимок челюстей) – это обзорный круговой снимок зубов, при котором видна вся челюсть, развернутая в двухмерной плоскости. Она может быть цифровой и пленочной.
Сегодня, в большинстве клиник или диагностических центров Харькова делают
Зачем делают панорамный снимок зубов?
Такое исследование позволяет:
- увидеть зачатки постоянных зубов у детей;
- определить строки смены молочных зубов на постоянные;
- оценить состояние зуба под пломбой, состояние каналов, верхушек корней;
- диагностировать скрытый кариес;
- диагностировать проблемы периодонта;
- увидеть ретенцию и наличие сверхкомплектных зубов;
- дает детальную информацию о расположении зубов «мудрости».
Благодаря такому снимку можно контролировать состояние при имплантации, протезировании, а также ортодонтическое лечение.
Панорамный снимок позволяет оценить состояние придаточных пазух носа (определить причину хронического гайморита – одонтогенного характера (причиной служат зубы, корни зубов) или неодонтогенного (причиной служат частые респираторные заболевания, вирусы, инфекции, полипы)), выявить смещение или перелом носовой перегородки и др.
То есть, ортопантомограмма дает врачу больше диагностических возможностей – позволяет увидеть то, что не видно при обычном осмотре.
Панорамный снимок зубов делается и детям, и взрослым
При таком методе диагностики пациент получает минимальную лучевую нагрузку – всего 15 мкЗв (согласно СанПиНу 2.6.1.1192-03 – при проведении профилактических медицинских рентгенографических процедур доза облучения не должна превышать более 1000мкЗв). Поэтому, если врач на очередном профилактическом осмотре предложит сделать Вам снимки тех участков, которые Вам кажутся здоровыми или произведёт две рентгенограммы в процессе лечения одного зуба – будьте спокойны, Ваш стоматолог действует в рамках протокола.
Единственное противопоказание для панорамного снимка зубов – период беременности (здесь можно проводить исследование с помощью визиографа).
Есть еще один вопрос, который волнует пациентов – цена на панорамный снимок зубов
Стоимость такого исследования в Харькове достаточно демократичная – от 100 грн.
Итак, ортопантомограмма – это доступный, информативный способ диагностики в стоматологии. Однако, хочется отметить, что в том случае, если необходимо рассмотреть более мелкие анатомические структуры зубочелюстной системы, или же у Вас планируется имплантация зубов, предстоит сложное ортодонтическое лечение, то более целесообразно будет проведение компьютерной томографии (КТ зубов).
Где сделать панорамный снимок зубов в Харькове? Как выбрать диагностический центр?
Основными критериями для выбора диагностического центра является наличие современного оборудования и специально обученного персонала.
Сегодня, практически все центры идут в ногу со временем. Однако, основное, что влияет на выбор пациента – это цена, скорость получения результатов и местонахождение рядом с домом.
В нашем диагностическом кабинете Вы можете сделать панорамный снимок двух челюстей (верхней и нижней), а также КТ. С техническим оснащением и его возможностями Вы можете ознакомиться в разделе «О центре», Цена на панорамный снимок зубов в нашем центре – от 110 грн.
Благодаря предварительной записи через сайт или по телефону, Вы быстро и комфортно пройдете необходимое исследование. Также, при необходимости, Вы сможете получить заключение врача-рентгенолога. Результаты диагностики Вы можете получить в как в электронном виде на диск или e-mail, так и в распечатанном – на пленке или фотобумаге.
Записаться в наш центр Вы можете по телефонам:
(057) 759-66-43, (050) 175-88-26, (096) 042-02-51.Найти нас очень удобно: Харьков, проспект Юбилейный, 56 (бывший проспект 50-летия ВЛКСМ, между ТК «Украина» и кинотеатром «Kino Land», возле ночного клуба Болеро), «Птимаш», 3 этаж (левое крыло), офис 304.
Приходите! Всегда готовы Вам помочь!
Панорамный снимок зубов в Минске
Как получить план лечения дистанционно? Переслать 3D-снимок (КЛКТ)
Адреса клиник в Минске 3D-тур
единый телефон для Беларуси
401
401 единый телефон для Беларуси
+375 29 643-34-01
+375 29 843-34-01
+375 17 336-64-01
отзывы
На начальном этапе оценки состояния полости рта стоматолог обязательно назначает панорамный рентген-снимок.
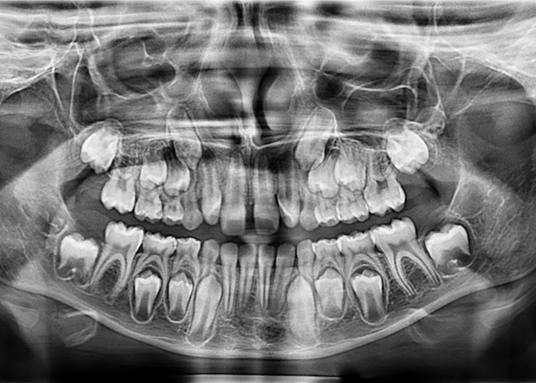
Панорамный снимок (или ортопантомограмма) – это плоское двухмерное изображение челюстей, зубов, гайморовых пазух и даже височно-нижнечелюстного сустава. Поскольку поверхность челюстей изогнутая, на плоской рентгеновской плёнке снимок отображается неравномерно увеличенным в боковых и передних отделах челюстей – то есть слегка деформированым.
Принцип получения панорамного снимка был разработан еще в 1949 году Y. Paatero, что послужило толчком для дальнейшего совершенствования стоматологического рентген-исследования.
Преимущества и недостатки панорамных снимков
Преимущества
- Малая доза лучевой нагрузки – 70 мкЗв (микроЗиверт).
- Быстрота — ОПТГ готов уже через 5-9 секунд.
- Много информации на одном снимке — видны все зубы с корнями, обе челюсти, гайморовы пазухи, височно-нижнечелюстные суставы, частично даже полость носа.
Недостатки
- Двухмерный вид не даёт информацию во всех плоскостях — для этого нужен 3D КТ снимок.

- Недостаточно чёткое отображение мелких деталей.
- Искажения, наслоение теней от других костей и позвоночника, смещения и затемнения неизбежны.
- Лишь ориентировочное представление о размерах корней зубов и расстоянии до важнейших анатомических образований (канал нижнечелюстного нерва и гайморова пазуха), из-за того, что изображение растянуто неравномерно в боковых и передних отделах.
Когда нужны панорамные снимки?
Ортопантомограмма быстро даёт большой объём информации о пациенте, что обуславливает её универсальность и широкое применение в различных отраслях стоматологии:
- Первичная диагностика – проводится на первичном стоматологическом приеме пациенту любого возраста.
- Ранняя диагностика аномалий зубочелюстной системы – по мировым стандартам рекомендуется проходить плановую ОПТГ для обнаружения одонтогенных (зубных) кист, пороков развития и опухолей в 10, 15, 20 лет.
- Терапевтическая стоматология – помогает оценить качество пломбировки корневых каналов, расположение пломбы по отношению к пульпе зуба, наличие воспаления за пределами корней.

- Хирургическая стоматология – даёт представление о форме и количестве корней перед удалением зубов, перед удалением зубов мудрости (в том числе ретенированных), а также перед удалением кист зубов.
- Имплантология – начальное планирование имплантации до 3D КЛКТ снимка, контроль за приживлением имплантов и костного графта после выполнения синус-лифтинга.
- Ортопедическая стоматология – в качестве диагностики состояния зубов и их корней перед планированием любого вида протезирования зубов и протезирования имплантов.
- Ортодонтия – определение наличия зубов мудрости перед планированием брекет-системы, контроль отработки параметров торка и параллельности корней на этапах ортодонтического лечения.
- Детская стоматология – определения положения зачатков постоянных зубов.
- Травма – ортопантомограмма позволяет выяснить, произошел ли перелом челюсти или зубов в результате травмы.
Как часто можно делать панорамный снимок?
Этот вопрос волнует всех пациентов.
Для ответа на него нам понадобится главный нормативный документ, предназначенный регулировать безвредность окружающих человека факторов и медицинских мероприятий на государственном уровне – СанПиН.
В Санитарных Правилах и Нормах 2.6.1.8-38-2003 указано, что для условно здорового человека количество профилактических рентген-процедур в год ограничено 1 мЗв (1000 мкЗв). Если учесть, что во время одного панорамного снимка человек получает дозу 70 мкЗв, то в профилактических целях разрешено сделать 14 панорамных снимков в год. Для лечебных целей порог лучевой нагрузки еще выше.
Можно ли делать панорамный снимок беременным?
Чтобы ответить на этот вопрос, снова обратимся к правовой документации. В соответствии с СанПин 2.6.1.8-38-2003, рентген-диагностику будущим матерям назначают исключительно по медицинским показаниям. По возможности снимки следует отложить на вторую половину беременности. Пренебречь этим можно, если состояние женщины требует неотложной помощи.
В следующем пункте написано, что рентген-снимки беременным проводят с соблюдением всех посильных мер и способов предосторожности, чтобы полученная порция излучения не превысила 1 миллиЗиверт (1000 мкЗв) за 8 недель установленной беременности.
То есть, если речь идёт о состоянии, требующем экстренной стоматологической помощи — когда без снимка не обойтись (например, лечение острого пульпита, периодонтита, диагностики перелома зуба или челюсти), то панорамный снимок проводить можно и нужно. Одна или две ортопантомограммы никак не отразятся на здоровье матери и ребёнка, зато позволят доктору не работать «вслепую» и провести качественное лечение.
В то же время важно понимать, что даже самое комфортное стоматологическое лечение может вызвать стресс у беременной женщины. А в этот период жизни волнения для её организма гораздо вреднее любого рентген-снимка. Поэтому, чтобы избежать внепланового визита к стоматологу во время беременности, необходимо позаботиться о здоровье зубов заранее.![]()
Как делают панорамные снимки
Перед получением ортопантомограммы рентген-лаборант просит снять серьги и украшения, чтобы минимизировать возможные искажения. Для защиты от излучения грудь и живот пациента прикрывают тяжелым свинцовым фартуком. Затем пациент фиксирует голову на специальных подбородочных упорах, закусывает пластиковый язычок и берётся руками за поручни рентген-аппарата. Это необходимо для стабилизации положения головы и максимальной чёткости изображения.
По принципу получения панорамный снимок – это сочетание панорамной зонографии и томографии. Особенностью методики является выделение нужного слоя снимаемого объекта и получение его плоского изображения. Это происходит при согласованном движении рентгеновского излучателя и приёмника (рентгеновская плёнка или датчик) вокруг головы пациента. При этом датчик дополнительно вращается вокруг собственной вертикальной оси, словно «обкатывая» челюсти спереди. Рентгеновский луч выходит из щелевидной свинцовой диафрагмы (1-2 мм), проходит параллельно через исследуемую область челюстей и попадает на приёмник.
Всё это занимает не более 9 секунд.
Панорамный снимок выполняют на рентгеновскую плёнку или в цифровом виде — как в сети стоматологических клиник KANO. Цифровое отображение челюстей может быть записано на диск или распечатано на фотобумагу.
Важно понимать, что ортопантомограмма – это средство первичной рентген-диагностики, и в ряде случаев её необходимо дополнять другими снимками (прицельным, прикусным или 3D КТ). Однако их количество может быть значительно уменьшено благодаря предварительному использованию панорамного снимка.
Панорамные снимки в Минске
На качество панорамного снимка безусловно влияет аппарат, на котором сделан снимок. В сети стоматологических клиник KANO панорамные снимки выполняются на современном оборудовании мирового уровня: это панорамный рентгеновский аппарат Gendex-300 и 3D Томограф Carestream 9300 (Kodak) с функцией панорамного снимка. В этих аппаратах максимально снижена доза лучевой нагрузки без ущерба качеству и доступны различные опции (например, функция детского и взрослого снимка), позволяющие получить чёткое изображение.
Реальные истории пациентов Не каждый готов рассказать свою историю на камеру. Новая улыбка окрыляет и добавляет уверенности в себе! Не верите? Смотрите!
Все отзывы
Имплантация зубов в сети клиник KANO — отзыв 10 March 2020
Имплантация и протезирование за 2 дня! 29 January 2020
Имплантация All-on-6: до и после. Невероятный результат! 26 November 2019
Ровные зубы за 6 месяцев? Это реально! 23 August 2019Композитные виниры в Минске: отзыв пациента 16 January 2020
Реально ли вставить зуб за один прием? 04 October 2019
Портфолио.
ДО и ПОСЛЕ
Лучше всего о мастерстве врачей расскажет портфолио. Нажмите «Все примеры работ» ниже, для просмотра полноценных кейсов лечения.
Запишитесь на бесплатную консультацию В ближайшее время с Вами свяжется медицинский координатор и проконсультирует Вас по условиям и стоимости лечения, подберёт врача и запишет Вас на приём.
401
401 единый телефон для Беларуси
+375 29 643-34-01
+375 29 843-34-01
+375 17 336-64-01
Блог
Информация о KANO в СМИ. Новости из мира стоматологии.
Публикации наших врачей. Обзоры из дентал-блогов.
Все статьи и публикации
Статьи MagicArt теперь KANO!
Статьи Экспресс-имплантация All-on-4/6: интервью с хирургом
Новости МЦ «Томография» — наш партнер!
Статьи Цифровое протезирование зубов: история пациента
Статьи Ответы на самые частые вопросы о брекетах
Статьи Как правильно выбрать зубные импланты?
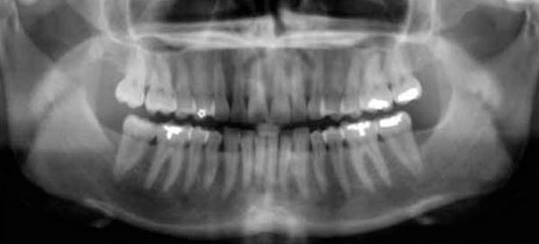
Панорамный снимок зубов (ортопантомограмма — ОПТГ) в СПб: цены
Панорамный снимок челюсти позволяет стоматологу получить изображение сразу всех зубов, включая верхнечелюстные суставы.
На рентгене отображаются зубные каналы, корни, костная ткань, пломбы и импланты.
Врачи-специалисты
Араби Сари
Врач стоматолог-хирург, Стоматолог-пародонтолог, Стоматолог-имплантолог
Степанчук Максим Андреевич
Врач стоматолог-ортопед
Искандарова Айсэл Мурсал Кызы
Врач стоматолог-терапевт
Сабекия Дарина Цочева
Врач стоматолог-терапевт
Милькис Анастасия Дмитриевна
Детский врач-стоматолог
Шапиева Наида Наримановна
Врач стоматолог-терапевт
Сабекия Батал Бесланович
Врач стоматолог-ортопед
Клоконос Никита Сергеевич
Врач стоматолог-терапевт
Андреев Петр Александрович
Врач стоматолог-терапевт
Микайыллы Самая Ровшан Кызы
Врач стоматолог-терапевт
В настоящее время на сайте ведутся работы по изменению прайс-листа, актуальную информацию уточняйте по тел: 640-55-25 или оставьте заявку, с Вами свяжется оператор.
Цены на услуги
- Ортопантомограмма (ОПТГ) 920a
- Ортопантомограмма (ОПТГ) с записью на CD 1430a
Информация и цены, представленные на сайте, являются справочными и не являются публичной офертой.
Наши клиники в Санкт-Петербурге
Получить подробную информацию и записаться на прием Вы можете по телефону +7 (812) 640-55-25
Записаться на прием
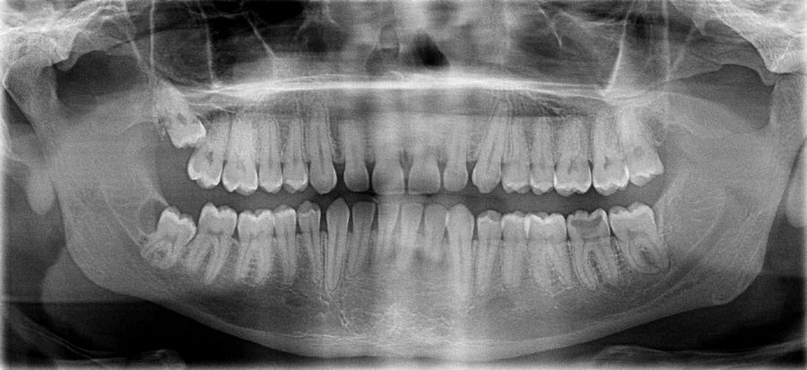
Что такое ортопантомограмма (ОПТГ) зубных рядов
Ортопантомограмма (ОПТГ) – это рентгеновский снимок всей челюсти. Он помогает обнаружить скрытый кариес под пломбой, искривление зубного ряда и другие заболевания.
Панорамный снимок челюсти является необходимой диагностической процедурой при лечении неправильного прикуса. ОПТГ позволяет выявить неправильное развитие и расположение зубов и челюстей, переломы челюстных костей и корней зубов.
Кроме того, сделать панорамный снимок зубов потребуется при планировании протезирования, перед лечением пародонтита и пародонтоза.
Преимущества нашей клиники
- Безопасность. Панорамный снимок зубов в «Медицентре» делается с помощью аппарата ORTHOPHOS XG 3D Сeph. Это один из наиболее безопасных рентгеновских аппаратов в мире.
- Экономия времени. Если вам необходимо сделать только ОПТГ, то вы приезжаете в назначенное время, делаете снимок за 1 минуту и без очередей. Результат готов сразу же.
- Высокая информативность. Один панорамный снимок зубов заменяет 32 прицельных снимка каждого зуба в отдельности.
- Цифровое фото. Снимок записывается на цифровой носитель, его легко предоставить вашему лечащему стоматологу.

Панорамный снимок зубов в Санкт-Петербурге
Стоматологическая клиника «Медицентр» находится в Приморском районе Санкт-Петербурга, в двух шагах от метро «Пионерская». Кроме современного оборудования, у нас работают дипломированные рентгенологи, поэтому сделать панорамный снимок зубов в «Медицентре» – это надежно, быстро и безопасно. Продолжительность ОПТГ не превышает 20 секунд.
Отзывы
Ли Юрий Сергеевич
28.02.2022
15:37
medi-center.ru
Рекомендую Медицентр для надежного решения «зубных» задач. Я высоко ценю Ваш подход к удобству клиента и качеству выполнения стоматологических услуг. Как здорово, что мне Вас рекомендовали =)
Тарасова Ольга
07.
12.2020
20:55
medi-center.ru
Клоконос Никита Сергеевич хороший врач, внимательный, обязательно спросит, как, хорошо ли, ответственно относится к работе. Делал ультразвуковую чистку зубов и лечил два кариеса. Большое спасибо центру, что берет на работу хороших специалистов.
Давлетова Рената Равилевна
16.11.2020
10:42
medi-center.ru
В самый неподходящий момент выпала пломба, зуб оказался «голым». Ни есть, ни пить нормально не могла. Сразу набрала Медицентр, часов в 6-7 вечера. Во-первых, большое спасибо, что нашли окно для оказания услуги. Во-вторых, зуб мне лечил Степанчук М. А. Отличный специалист! Рассказывал на каждом этапе, что делает и зачем это нужно. Показывал в зеркало каждый этап работы, сразу дал рекомендации по лечению остальных зубов, указал на проблемные места.
Во время работы постоянно интересовался, комфортно ли я себя чувствую, не больно ли мне. Очень рекомендую специалиста и стоматологию!
Даша Егорова
07.08.2020
20:35
Сообщество VK
Большое спасибо стоматологу Андрееву Петру Александровичу! Была на проф. гигиене, доктор все рассказал, дал рекомендации, ответил на все вопросы. Впечатление очень положительное, спасибо и до скорых встреч, Медицентр ????
Наталия Чебыкина
10.06.2020
18:27
Сообщество VK
Спасибо большое за лечение, была у доктора Андреева П.А. Замечательный доктор, сделал все очень хорошо, сохранил почти безнадежный зуб, теперь на лечение только в эту клинику.
Катерина Мурзилка
28.05.2020
17:48
Сообщество VK
В данном центре делали удаление 8-го зуба, попала на прием к доктору Сари и очень этому рада, что именно он делал данную операцию.
Удаление зуба было сложное, но благодаря терпению, высокому профессионализму, внимательности и пониманию проблем пациента результат и цель все таки были достигнуты. Рекомендую доктора Араби Сари теперь всем своим знакомым, и мне действительно важно быть уверенной в профессионализме специалиста а также, теперь уже всегда со спокойствием и доверием понимаю, что любую проблему по стоматологии мне помогут решить и я знаю к кому обратиться)
Все отзывы
Панорамный снимок зубов в Ярославле. Цена цифрового снимка челюсти
Если Вы впервые приходите на консультацию или лечение в стоматологию Денталия, мы обязательно делаем ортопантомограмму (панорамный снимок зубов)
Зачем нужно делать ортопантомограмму?
Панорамный снимок зубов – эталон диагностики в стоматологии. Это база, дающая необходимый набор данных для ортопедических, хирургических и терапевтических процедур и манипуляций. Только с данными ОПГ врач может составить грамотный план лечения.
Наше оборудование позволяет проводить ОПТГ, цена которого оптимальна. При этом аппарат отличается большим набором преимуществ:
- быстрое проведение обследования: процесс занимает несколько секунд, а цифровой снимок после этого готов моментально и сразу доступен на компьютере. Это позволяет врачу без потерь времени приступить к диагностике;
- высокая точность. Готовые цифровые снимки детализированные, контрастные. Их можно увеличить в 10 раз, увидев даже те патологии, которые находятся на ранней стадии развития;
- безопасность. Лучевая доза у цифрового аппарата в 3 раза меньше, чем у классического.
- удобное хранение данных. Полученный цифровой снимок мы храним в электронной базе данных нашей клиники постоянно. Даже если вы повторно обратитесь через несколько лет после исследования, доктор за несколько секунд получит доступ к сделанному снимку или, при необходимости, передаст его вам.
Что видно на панорамном снимке?
- он демонстрирует состояние всех без исключения зубов на нижней и верхней челюсти, а также состояние гайморовых пазух и височно-нижнечелюстного сустава;
- с помощью него доктор может увидеть зачатки постоянных зубов у малышей и обнаружить возможные патологии их развития;
- ортопантомограмма информирует о кариозных очагах, гранулемах и кистах, ретинированных «зубах мудрости»;
- с помощью нее можно определить заболевания пародонта и костной ткани еще на ранних этапах;
- врач получает максимум информации для проведения коррекции, протезирования и дентальной имплантации;
- панорамный снимок позволяет проверить качество проведенного лечения, в частности, пломбирования корневых каналов.

Зачем ортопантомограмма ортопеду, хирургу, ортодонту?
- Ортопед, используя снимок, определяет готовность челюстей к протезированию, подбирает типы имплантов и протезов, контролирует приживаемость имплантов.
- Хирург с помощью снимка сможет оценить состояние зубов, тканей пародонта, выявить гнойные образования, опухоли, атрофию мягких и костных тканей. Ортопантомограмма нужна и после хирургического вмешательства: после удаления зубов, гингивопластики и костной пластики, синус-лифтинга хирург контролирует по снимку процесс восстановления.
- Ортодонт с помощью снимка выберет вид лечения, сможет определиться, стоит ли ставить брекеты или можно ограничиться трейнерами. Диагностика поможет доктору определить длительность и степень эффективности лечения, а также оценить результативность и понять, нужно ли внесение корректировок.
5 причин сделать панорамный снимок в Денталии:
- Мы используем современный Компьютерный 3D томограф KAVО
- Процедура полностью безопасна, лучевая нагрузка минимальна
- Результат диагностики максимально точный, без искажений
- Диагностика занимает минимум времени, а результаты не потеряются
- При необходимости мы распечатаем снимок на фотобумаге высокого качества
Еще раз о безопасности
Для ортопантомограммы применяют рентгеновские лучи, но при этом за одну процедуру доза излучение составляет всего 10-40 мкЗв.
Для сравнения – допустимой годовой дозой считается 1000 мкЗв. Проще говоря, можно сделать хоть 100 таких снимков за год, и это никак не отобразится на здоровье. Организм человека за одну процедуру получает облучение в таком же количестве, как и от других естественных источников радиации, окружающих нас в городе.
Наш рентген-кабинет открыт для Вас
- с понедельника по пятницу с 9:00 до 20:00
- в субботу и воскресенье с 10:00 до 16:00
Запись на консультацию к специалистам клиники Пн-пт: с 09 до 20, Сб-вс: с 10 до 16 (4852) 230-631 Записаться на приём
Вся семья ходит к Моревой Надежде Александровне, уже много-много лет! Очень уважаем и ценим ее как лучшего стоматолога у которого вообще были!
Есть ответ клиники Развернуть отзыв
Спасибо!
Огроменное Спасибо дорогому доктору Герасименко Дмитрию Юрьевичу! Доктор с большой буквы!!!
Огромное спасибо Надежде Адольфовне за ее профессионализм, чуткость, внимание и заботу.
Сегодня была на приеме и осталась очень довольна ее отношением и высококлассной работой. Самый лучший доктор! Спасибо за мою красивую улыбку 🙂
Посмотреть все отзывы
Запись на консультацию к специалистам клиники Пн-пт: с 09 до 20, Сб-вс: с 10 до 16 (4852) 230-631 Записаться на приём
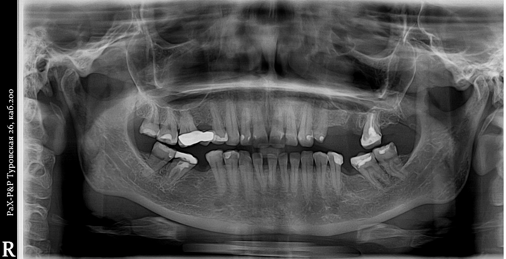
ОПТГ (ортопантомограмма) — сделать панорамный снимок зубов в Москве
Панорамный рентгеновский снимок – основа диагностики в стоматологии.
Ортопантомография – все зубы на одном снимке.
Внешнего осмотра полости рта или одиночного снимка зуба чаще всего недостаточно для постановки диагноза или выбора лечения. В таком случае врач использует ортопантомограмму (ОПТГ). Это рентгенография, результат которой — панорамный снимок нижней части лица. Ее относят к одному из самых информативных методов исследования в различных направлениях стоматологии — терапевтическом, хирургическом, ортопедическом и ортодонтическом.
В клинике «Чудо Доктор» вы безопасно и безболезненно можете пройти диагностику на современном и надежном оборудовании, в числе которого цифровой ортопантомограф последнего поколения STRATO 2000 D. Одного снимка достаточно, чтобы точно назначить эффективное лечение и проконтролировать его результаты. Кроме того, ОПТГ рекомендовано проходить детям, подросткам и взрослым не реже одного раза в год во избежание развития осложнений зубных заболеваний.
Преимущества ортопантомографии в нашей клинике
- Высокая информативность исследования
Панорамный снимок позволяет получить детальное изображение зубов, височно-нижнечелюстных суставов, костной ткани, гайморовых пазух, опорного аппарата зуба. По одному снимку можно определить взаиморасположение и реальные размеры изучаемых объектов. - Современная аппаратура
Цифровой итальянский ортопантомограф STRATO 2000 D – это аппарат премиум-класса. Технология получения снимка позволяет снизить лучевую нагрузку в 2-3 раза по сравнению с аналогичными пленочными ортопантомографами.
При этом качество изображения, наоборот, выигрывает. Информация сразу выводится на монитор, благодаря чему сохраняются все важные детали. - Специальная подготовка врача
Специалисты нашей клиники интерпретируют снимки с высокой точностью, что позволяет максимально использовать все возможности данного метода исследования. Врач увидит все то, что скрыто для невооруженного взгляда, и сделает правильные выводы о состоянии полости рта пациента.
Две убедительные причины сделать панорамный снимок в клинике «Чудо Доктор»
- Безопасность для здоровья
Доза рентгенологического излучения минимальна, что позволяет проводить исследование как взрослым, так и детям. Для динамического наблюдения целесообразно повторение ортопантомографии нужное количество раз. В нашей клинике также используются дополнительные средства защиты – фартуки и накидки. - Запись снимка на CD-диск или на пленку
Изображение, которое позволяет получить ортопантомограф, сразу выводится на монитор.
Для его сохранения и дальнейшего использования есть возможность записи на компьютерный диск либо на рентгеновскую пленку.
Что диагностирует ортопантомограмма?
Проведение рентгенологического исследования с получением панорамного снимка – незаменимый метод диагностики. Задач, с которыми справляется ортопантомография множество, вот лишь некоторые из них:
- При лечении зубов – снимок покажет состояние твердых тканей, строение каналов, наличие очагов воспаления в периодонте.
- При протезировании – врач-ортопед узнает состояние опорных зубов и связочного аппарата.
- При исправлении прикуса – ортодонт увидит расположение корней, наличие зачатков непрорезавшихся зубов, сможет контролировать перемещение зубов.
- В хирургической стоматологии – появляется возможность оценить патологический очаг, планировать и контролировать постановку имплантов.
Качественный снимок – исчерпывающая информация для стоматолога.
Возникла необходимость в помощи стоматолога? В первую очередь сделайте панорамный снимок в нашей клинике. Позвольте специалисту получить полную картину о ваших зубах за несколько минут.
Особенности метода
Рентгенологическое исследование предполагает использование ионизирующего излучения для отображения внутренних структур тканей. Оно показывает детальное изображение всех единиц, костной ткани верхней и нижней челюсти, структуры гайморовой пазухи, строение височно-нижнечелюстного сустава.
В зависимости от оснащения клиники результат может быть выдан в цифровом формате, на пленке или же в обоих видах. Мы используем первый вариант, поскольку ортопантомограф последнего поколения отличается:
- высокой точностью;
- снижает лучевую нагрузку на пациента в 2–3 раза;
- позволяет увеличить и детально проанализировать необходимый участок прямо на мониторе.
Все данные удобно сохраняются на компьютере, и мы сразу перемещаем их в вашу электронную медицинскую карту.
При необходимости снимок также может быть распечатан на рентген-пленке.
Показания
ОПТГ зубов имеет первостепенное значение во многих клинических случаях и в различных направлениях стоматологии и не только. Снимок обычно назначает врач после визуального осмотра ротовой полости и сбора анамнеза. Также специалист учитывает жалобы пациента — боль, характер выделений из зуба.
Терапевтическая стоматология
Панорамный рентген-снимок необходим для диагностики:
-
кариеса;
-
пульпита;
-
периодонтита;
-
периостита.
Ортопедия
Исследование позволяет оценить состояние:
Хирургия
Результат исследования дает полное видение всей зоны операции, а именно:
-
положения зубов;
-
их зачатков;
-
очагов воспаления.

Ортодонтия
Снимок позволяет врачу изучить:
-
расположение корней зубов;
-
угол их наклона;
-
положение относительно соседних зубов;
-
внутреннюю структуру челюстей;
-
наличие ретинированных зубов.
Имплантология
На основании результатов исследования врач-имплантолог выбирает способ протезирования и вид импланта.
Снимок позволяет:
-
изучить объем и плотность костной ткани;
-
оценить состояние корней соседних зубов, их расположение;
-
выбрать нужные по размеру и форме импланты.
Детская стоматология
Процедура необходима:
-
при задержке прорезывания зубов;
-
отклонениях в их формировании;
-
для прогноза патологий прикуса и своевременного лечения.

Оториноларингология
Лор-врач оценивает посредством снимка:
-
правильность носовой перегородки;
-
замутнение гайморовой пазухи;
-
разрастание слизистой в гайморовой пазухе в виде полипов;
-
связь между гайморитом и воспалением в зубе.
Травматология
Позволяет оценить степень повреждений челюстно-лицевой области после вывихов и переломов.
Насколько вредна ортопантомограмма челюстей и зубов?
Даже при проведении процедуры на пленочном ортопантомографе объем излучения мал, чтобы навредить здоровью. Мы же предлагаем вам исследование на цифровом аппарате. Его доза излучения еще меньше в 2–3 раза, она сравнима с тем значением, которое получает человек после двухчасового перелета на самолете.
При этом исследование все же не рекомендуют проводить в следующих случаях:
- патологии ЦНС, которые могут мешать сохранению покоя при диагностике;
- младенческий возраст;
- первый триместр беременности.
Отличия от компьютерной томографии
Сравним ОПТГ и КТ по нескольким показателям.
|
Параметр |
ОПТГ |
КТ |
|
1. Информативность |
Снимок челюстей в одной плоскости, то есть врач не может увидеть, что находится за корнем зуба, имплантатом, коронкой. |
Это трехмерный снимок, поэтому он считается гораздо информативнее иных. Изображение можно увеличивать, раскладывать на слои, поворачивать и детально изучать. |
|
2. Лучевая нагрузка |
20–30 микрозивертов |
60–70 микрозивертов |
|
3. Противопоказания |
Можно проводить после первого триместра беременности |
Не рекомендуется проводить на любом этапе беременности |
Как подготовиться к процедуре?
Выполнить исследование по доступной цене вы можете в клинике «Чудо Доктор».
При записи на услугу менеджер уточнит, что особенной подготовки от вас не требуется. Можно пить, принимать пищу и лекарства.
Также рекомендуем взять для врача результаты предыдущего обследования. Обратите внимание, что вы заранее можете снять съемные ортопедические конструкции, в составе которых есть металл.
Как делают панорамный снимок
Процедура безопасна, комфортна и занимает не более 30 секунд. Пациенту требуется снять очки, серьги и другие металлические изделия. Обычно исследование проводят в положении стоя.
Голова фиксируется специальными зажимами, а для получения панорамного изображения рентгеновская трубка и приемник ортопантомографа вращаются вокруг нее. Язык должен быть прижат к небу. По указанию врача нужно прикусывать стерильный мундштук, что позволяет центрировать изображение.
Сколько раз в год допустима ортопантомограмма?
Поскольку лучевая нагрузка одной ОПТГ сравнима с естественным фоном, то в соответствии с медицинскими рекомендациями норма — не более 50 исследований в год.
Однако на практике назначение такого количества панорамных снимков пациенту практически невозможно. Направление на процедуру всегда выдает врач, который обязательно учтет общую лучевую нагрузку на организм.
Записаться на ортопантомограмму в Москве и узнать ее цену вы можете по указанным на сайте телефонам. Также воспользуйтесь для этого формой обратной связи.
Поспешите записаться на исследование!
Автор
Китаева Татьяна Валерьевна
стоматолог-терапевт, стоматолог
Стаж 29 лет
+7 (495) 032-15-21
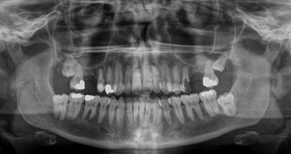
цены на ОПТГ (ортопантомограмму), сделать обзорный рентген челюсти
На панорамном снимке можно увидеть и оценить состояние, взаимное расположение верхних и нижних зубов, височно-нижечелюстных суставов, околоносовых пазух, состояние костной ткани челюстей. Панорамная рентгенография необходима при протезировании, имплантации зубов, исправлении прикуса. Сделать качественные снимки на современном оборудовании вы можете в клинике «Денто-Комфорт».
Запись по телефону:
+7(499) 183-19-19
г. Москва, Ярославское шоссе, д.6, корп.1
Описание
Симптомы
Стоимость
Врачи
Отзывы/Сертификаты
Чтобы правильно установить имплантат, сделать качественный зубной протез или ортодонтическую систему для исправления прикуса, стоматологу нужно видеть, где расположен каждый зуб, какой он длины, формы, как верхний зубной ряд смыкается с нижним.
При выполнении некоторых манипуляций важно состояние височно-нижечелюстных суставов, знание точного расположения и границ околоносовых пазух. Отдельные снимки зубов не дадут эту информацию. Для ее получения назначается панорамная рентгенография.
Прайс находится в стадии разработки. Цены узнавайте в клинике или по телефону.
Все цены
Показания
Панорамная рентгенография выполняется:
- для выявления ретинированных зубов, кист, кариозных полостей;
- оценки поражений ткани пародонта;
- оценки состояния височно-нижечелюстных суставов, выявление их патологий;
- выявления расположения и границ околоносовых пазух;
- при подготовке к протезированию, установке имплантатов, исправлению прикуса.
Наши врачи
Продолжительность процедуры
Продолжительность процедуры – 20-30 секунд. Врач может сразу же вывести снимки на экран, распечатать на рентгеновской пленке или сохранить на ваш цифровой носитель, если вы хотите проконсультироваться у других специалистов.
Как делается?
Перед рентгенографией пациент снимает металлические украшения, заколки, очки, вынимает съемные протезы, одевает металлический фартук. Перед снимком нужно положить подбородок на подставку. Стоматолог фиксирует голову пациента и включает аппарат. Излучатель в течение 20-30 секунд вращается вокруг головы. Аппарат выключается. Дантист смотрит полученные снимки на экране компьютера или распечатывает их, копирует на съемный носитель для пациента (если он хочет проконсультироваться у других специалистов).
Результат
Получаются черно-белые, четкие изображения с высоким разрешением. Отдельные участки можно увеличивать на экране компьютера.
Методы
Существуют пленочные ортопантомографы, но в клинике «Денто-комфорт» используются более современные цифровые аппараты для панорамных работ, при использовании которых снижается уровень облучения и получаются более качественные четкие изображения.
автор статьи: Джевелекис Сергей Янисович
Похожие услуги
Записаться на прием
Отзывы о панорамном снимке в «Денто-Комфорт»
«Возможность исправить неправильный прикус появилась только в 25 лет.
Проблемы были серьезные, я уже обращалась к двум докторам, но они не взялись. В клинике «Денто-Комфорт» мне сделали ортопантомограмму, и стоматолог рассказал, как сможет мне помочь. Носила брекеты почти год, и мои зубки стали ровными.»
Кристина, 20.11.2020
«Стоматолог сказал, что нужно сделать панорамную рентгенографию перед протезированием. Процедура заняла всего несколько минут. Врач сразу посмотрел снимок и увидел кариозную полость в одном зубе. Хорошо, что проверили, и не пришлось потом снимать коронки.»
Анна Владимировна, 06.11.2020
«Предлагали поставить съемные протезы, я же хотел, чтобы были несъемные. Пришел на консультацию в клинику «Денто-комфорт». Мне быстро сделали панорамный рентген, стоматолог посмотрел, и сказал, что у них могут мне помочь. Очень доволен результатом, зубы, как родные.»
Валентин, 24.10.2020
«Для восстановления зубного ряда нужно было поставить два имплантата.
Назначили рентгенографию. Немного боялась, думала, что, как и при компьютерной томографии, нужно будет ложиться в «трубу», но процедура больше похожа на обычный рентген. Не больно и не страшно.»
Ира, 08.10.2020
все отзывы Оставить отзыв
Cертификаты
Лицензия на медицинскую деятельность
Лицензия на медицинскую деятельность
Лицензия на медицинскую деятельность
Вопросы пользователей
Подскажите стоимость лечения хронического периодонтита 3-канального зуба?
Галина,29 лет:
Подскажите, пожалуйста, ориентировочную стоимость лечения хронического периодонтита 3-канального зуба. Спасибо.
Ответ:
Здравствуйте, Галина! Стоимость лечения периодонтита трехканального зуба, а также стоимость анестезии и установки пломбы можно посмотреть на сайте, в разделе «Цены»
Cовет врача
Если вам поставили диагноз периодонтит — не пугайтесь, можно вылечить любую форму заболевания.
Радабова Надежда Богдановна
Врач стоматолог — терапевт, ортопед
Последствия периодонтита
Сильная боль, отеки, повышение температуры — вот некоторые последствия, которые грозят человеку, запустившему кариес. Кроме того, болезнь может распространится на здоровые зубы, если не проводить лечение периодонтита. В стоматологии «Все свои!» эффективно оказывают терапевтическую помощь в решении этих проблем. Цены в нашей клинике отнюдь не пугающие.
Записаться на прием
7 потрясающих идей для панорамной фотографии
Существует множество различных стилей фотографии, с которыми можно поэкспериментировать, и еще больше возможностей для демонстрации готовой работы. Но панорамная фотография может быть очень эффектной, особенно когда она превращается в волшебные отпечатки, которые можно повесить у себя дома.
Панорамная фотография существует со времен пленочных камер (помните такие?), когда в дорогих камерах был «панорамный режим».
Сегодня цифровые технологии значительно упрощают фотографирование. Каждый новый смартфон в наши дни имеет эпическую камеру. Но в то же время это открывает совершенно новый мир возможностей! Есть так много способов, которыми вы можете
Если вы хотите узнать, как делать панорамные фотографии, пролистайте! У нас есть много идей для панорамной фотографии, чтобы вдохновить вас.
Что такое панорамное изображение?
Во-первых, что такое панорама? Панорамная фотография — это, по сути, фотография широкого формата, будь то вертикальная или горизонтальная. В любом случае, они сделаны путем создания серии фотографий, которые накладываются друг на друга, чтобы создать одно изображение.
Используя панорамный режим на вашей камере, вы можете получить гораздо более широкое изображение, чем при использовании стандартного объектива.
1. Создавайте панорамные снимки людей
Джейсон Кори
Когда вы устраиваете свадьбу, вечеринку по случаю дня рождения, душ или любое другое событие, связанное со сбором людей, важно запечатлеть момент.
А если вам посчастливится уехать с мероприятия с серией сенсационных панорамных снимков, все будут очень довольны! Возможно, вы даже сможете превратить эти снимки в настенный дисплей или коллаж на холсте.
Если вы можете собрать всех своих гостей для одного волшебного фотографического момента, сейчас самое время использовать панорамные настройки вашей камеры!
2. Создавайте вертикальные панорамы
Когда вы говорите «панорама», большинство людей думают о длинных, широких горизонтальных изображениях городских пейзажей или других видов пейзажей. Но не забывайте, что панорамная фотография не обязательно должна быть горизонтальной! Одними из самых ярких фотографий, когда-либо сделанных, были вертикальные панорамы.
Что угодно можно красиво запечатлеть в виде вертикальной панорамы; высокое здание, водопад или даже особенно красивое дерево. Вертикальные панорамы снимаются почти так же, как и горизонтальные. Нужно просто поиграться с настройками камеры и попрактиковаться!
3.
Создавайте панорамы, которые следуют за одним объектомДжо Нинхам
Ищете супер творческие идеи для создания панорам? Попробуйте следовать за движущимся объектом! Это определенно навык, который требует некоторого оттачивания. Тем не менее, это, безусловно, достижимо даже для фотографа-любителя. Идея состоит в том, чтобы сделать панорамный снимок объекта в полете — например, бегущего животного, летящей птицы, проносящегося мимо автомобиля или даже чего-то более простого, например, прыгающего мяча.
Когда ваша камера находится в режиме панорамной или непрерывной съемки, следуйте за объектом и соберите воедино свои результаты позже. Панорамная фотография, следующая за движением объекта, иногда может пойти до смешного неправильно. Этот метод лучше всего использовать после некоторых экспериментов. Вы не должны обязательно полагаться на то, что это сработает в первый раз, особенно если вы делаете снимок, который бывает раз в жизни!
4. Эксперимент с клонированием.
в движении. Эту технику лучше всего использовать с человеком, а не с животным, так как скорость, время и точность имеют существенное значение.Начните с того, что человек находится в начале вашего панорамного снимка, и как только эта область будет сфотографирована, человек должен перейти в другую часть сцены (конечно, не бегая перед камерой!) и подготовиться. чтобы снова сфотографироваться. Количество раз, когда человек может быть показан на одном панорамном изображении, зависит от того, насколько медленно вы можете перемещать камеру, продолжая создавать кадр, и как быстро человек может перемещаться из одной позиции в другую.
5. Используйте приложение для объединения панорамных фотографий
Автор: Мэтью Браун
Если вы полагаетесь на то, что ваш смартфон может выполнять функции камеры, используйте приложения. Ваши приключения в панорамной фотографии станут намного проще, если вы будете использовать правильные приложения! Среди пользователей iPhone популярен Auto Stitch, а аналогом Android является PanoStitch.
Эти приложения не только объединят ваши фотографии обычного размера для создания панорамного изображения, но также объединят панорамные изображения для создания многослойного эффекта.
Представьте себе, что вы делаете два или более тщательно синхронизированных панорамных снимка вида с самого высокого здания в вашем городе, а затем сшиваете эти изображения вместе, чтобы создать многорядную панораму. Если все сделано правильно, конечным результатом будет потрясающее изображение, которое вы можете использовать в качестве настенного декора дома или в офисе.
6. The Phone Toss (не для слабонервных)
From The Atlantic
Чтобы сделать панорамный снимок более резким и креативным, попробуйте взмахнуть рукой во время съемки. Если вы действительно любите приключения, вы можете попробовать подбросить телефон в воздух, чтобы сделать снимки во время его полета.
Ваш конечный результат не будет цельным кусочком красоты, как другие панорамные сцены, но будет иметь неровные линии и области, где изображения даже отдаленно не сшиты вместе.
В этом и заключается идея такого панорамного эксперимента; это сыро и уникально!
7. Крошечная планета
«Крошечная планета» — это фотография с трехмерным эффектом, превращающая панорамное изображение в сферическую форму. Созданные из 360-градусных панорам «крошечные планеты» немного сюрреалистичны и могут быть очень эффектными. Чтобы создать этот эффект на iPhone, вам понадобится приложение Tiny Planet, а пользователи Android могут попробовать Little Planet или Tiny Planet FX Pro.
После всех ваших экспериментов с панорамной фотографией вы наверняка создали что-то потрясающее на своей стене. Прелесть панорамных изображений в том, что они управляют пространством стены в отличие от любого другого изображения. После того как вы соедините свои фотографии, чтобы создать потрясающую панораму, легко превратите ее в холст, чтобы сделать любую стену центром внимания в комнате.
Эли Дженкинс
Эли — постоянный блогер Canvas Factory и любитель социальных сетей.
Она увлекается искусством, ремеслом, дизайном, модой и фотографией. Она любит исследовать радости и проблемы семейной жизни, отношений, материнства и владения домашними животными. Эли считает, что подшучивать над собой забавнее, чем над другими. Она много путешествовала и считает себя гражданином мира.
Студенты колледжа Уэллсли, 1903 г., автор: E. Chickering & Co. (Фото: Отдел печати и фотографий Библиотеки Конгресса)
Панорамные фотографии почти так же стары, как и сама фотография. Фотографы снимали горизонтальные пейзажи и большие группы людей, используя различные техники на протяжении последних полутора веков. По мере развития фотографических процессов и технологии фотоаппаратов развивалась и панорама. То, что начиналось как громоздкий процесс для профессионалов, в конечном итоге превратилось в простой в использовании режим на вездесущих смартфонах, которые есть у всех в карманах.
Сегодня 9Панорамный снимок 0093 — это лишь один из многих вариантов, доступных для фотографирования нашей повседневной жизни одним нажатием кнопки.
Как правило, панорама указывает на широкое поле зрения — так сказать, изображение шире, чем в высоту. Можно услышать ссылку на панораму городского горизонта или горного хребта. Хотя панорамные фотографии важны для пейзажной фотографии, этот формат также используется для других целей, таких как фотографии класса или 360-градусные обзоры.
Истинная панорама обычно представляет собой изображение, которое охватывает около 160 градусов обзора или шире. Однако в общей практике этот термин часто используется для изображений, снятых камерой с фиксированным объективом, и показывает вид, который значительно шире, чем высота.
Читайте дальше, чтобы изучить историю панорамы и узнать, как эта среда развивалась на протяжении десятилетий.
Западный подход к Акрополю, Афины, 1842 г. Дагерротип Жозефа-Филибера Жиро де Пранжи.
(Фото: Метрополитен-музей, общественное достояние)
Панорамы на тарелках
Панорамный вид на лагерь Потомакской армии в Камберлендской высадке на реке Памунки, май 1862 года. Снято на трех пластинах компанией Williams & Rogers. (Фото: Отдел эстампов и фотографий Библиотеки Конгресса)
Дагерротип был самой ранней широко используемой фотографической техникой. Медный лист был сделан светочувствительным с серебряным и химическим покрытием. Затем эта пластина экспонировалась в камере. Затем пластина была проявлена с использованием паров ртути и других химикатов, которые создали и сохранили фотографическое изображение. Этот трудоемкий процесс давал уникальное изображение — в отличие от более поздних методов, которые позволяли создавать негативы, с которых можно было делать несколько отпечатков.
Еще в 1843 году начали разрабатывать специальные камеры для панорамной съемки. Эти конструкции вращались или панорамировались с помощью рукоятки, чтобы охватить широкое поле зрения.
Когда объектив камеры вращался, экспонировались следующие друг за другом пластины (а иногда и одна длинная пластина).
Вид с вершины горы Лукаут, штат Теннесси, февраль 1864 года. Снято Джорджем Н. Барнардом на трех пластинах. (Фото: Отдел эстампов и фотографий Библиотеки Конгресса)
Полученные изображения могут быть объединены в одну длинную серию связанных изображений. Тот же подход к созданию панорам продолжал использоваться, поскольку процесс коллодия с мокрой пластиной заменил дагерротип в 1850-х годах. Фотосъемка с мокрой пластины была проще и дешевле. Стеклянные пластины экспонировались в камере, а затем обрабатывались, после чего пластины служили негативами, с которых можно было делать отпечатки. Панорамные отпечатки теперь можно было легко воспроизвести. Однако, как и в случае с дагерротипами, фотограф столкнулся с рядом проблем. Пластины должны были быть выровнены равномерно, и движение камеры также должно было быть плавным, чтобы избежать «полосатости» изображения в результате изменения скорости.
Искажение линий и перспективы также было в значительной степени неизбежным.
В 19 веке фотографы брали амбициозные панорамы всего, от городских пейзажей до лагерей времен Гражданской войны. Панорамы Джорджа Барнарда, фотографа армии Союза, считались тактическими инструментами для армейских инженеров и военачальников, планирующих свою оборону. Сегодня эти изображения являются ценными историческими памятниками местных пейзажей.
Возможности гибкой пленки
Парад купающихся девушек, Сил-Бич, Калифорния. Расстрелян М.Ф. Уивер, около 19 лет.17. (Фото: Отдел эстампов и фотографий Библиотеки Конгресса)
Гибкая фотопленка была впервые разработана в 1880-х годах. Будь то рулоны или листы, этот новый материал вдохновил на создание ряда камер, которые сделали панорамную фотографию доступной для фотографов-любителей. Это развитие было частью гораздо более широкой коммерциализации и демократизации пленочной фотографии, которая в значительной степени была обусловлена доступными камерами и продуманным маркетингом Eastman Kodak Company 9.
0094 .
Панорамные камеры, использующие гибкую пленку, обычно делятся на две категории. В камерах с поворотным объективом объектив вращался, поскольку он экспонировал «щель» изображения на стационарной пленке. В камерах с вращением на 360 градусов , также известных как вращающиеся панорамные камеры, объектив камеры вращается, а пленка движется синхронным двигателем.
Готовые потребительские панорамы
Kodak No.3A Panoram, производившийся с 1926 по 28 год, но схожий по конструкции с более ранними моделями. (Фото: Wikimedia Commons, общественное достояние)
Первой потребительской панорамной камерой была модель Al-Vista , выпущенная в 1898 году. Камера с поворотным объективом производилась в разных размерах, поскольку пленка продавалась разной ширины. Внутри камеры катушка удерживала пленку и продвигала кадры по изогнутой плоскости. Объектив будет перемещаться по плоскости пленки, чтобы обнажить пленку.
Это движение может быть установлено с разной скоростью в соответствии с условиями освещения (т. е. чем медленнее скорость, тем темнее условия).
Вскоре после выпуска Al-Vista компания Kodak выпустила собственную потребительскую панорамную камеру с поворотным объективом, основанную на разработках Фрэнка А. Браунелла, автора Kodak Brownie. № 4 Panoram и № 1 Panoram продавались к 1900 году. Несмотря на сходство по дизайну, № 4 предлагал больший негатив, более широкое поле зрения и стоил дороже. Различные модели Panoram продолжали предлагаться для продажи до конца 1920-х годов.
82 с.ш. Широта, панорама, снятая во время неудачной полярной экспедиции Циглера 1903-1905 гг. Снято на панорамную камеру Kodak № 1. (Фото: Викисклад, общественное достояние)
В относительно доступных потребительских панорамных камерах с поворотным объективом использовались рулоны пленки, по размеру аналогичные сегодняшним 120-миллиметровым рулонам. Однако профессиональные фотографы часто использовали рулоны пленки большего формата; они могут быть до 16 дюймов в ширину и 20 футов в длину.
Его можно использовать для создания изображений контактной печати, просто положив большой негатив на фотобумагу и обнажив поверхность. С этой более крупной пленкой профессионалы, как правило, использовали камеру, известную как 9.0093 Циркут камеры .
Циркут представлял собой вращающуюся панорамную камеру, в которой пленка двигалась вместе с объективом. Он был способен обеспечить полный обзор на 360 градусов. Представленная в 1904 году камера была громоздкой, и для ее использования требовался штатив. Камера выпускалась в разных вариациях до 1949 года дочерним подразделением Eastman Kodak. Как описано в раннем каталоге, камера была универсальной в то время, когда профессиональные фотографы все еще в значительной степени полагались на негативы из листового стекла для использования в своих портретах. «Панорамный комплект Cirkut сам по себе является самым совершенным устройством, состоящим из камеры, которую можно использовать обычным образом для тарелок, когда это необходимо, и панорамной насадки, которая легко и быстро прикрепляется к камере, превращая ее, таким образом, в панорамную камеру.
Наряд», — рекламировался каталог.
Фредерик В. Брем работал в Kodak и участвовал в разработке камеры Cirkut. В своей карьере профессионального фотографа он часто использовал камеру. В 1906 году Брем сделал 360-градусную панораму городского пейзажа Вашингтона, округ Колумбия. Панорама произвела впечатляющий негатив длиной 20 футов. Однако большинство проектов Брема, как и других современных панорамных фотографов, вращались вокруг повседневной жизни его города и его жителей. Он фотографировал все, от солдат до семейных встреч и бейсбольных стадионов. В работах Брема и других, таких как Майлз Уивер, фотограф располагал свои объекты изогнутой формой, чтобы на пленке это расположение выглядело как прямая линия. (Забавный факт: пока камера вращалась, некоторые люди бегали за камерой, чтобы прыгнуть в изображение во второй раз.)
Российская камера «Горизонт», 1967 год. (Фото: Wikimedia Commons, общественное достояние)
В ХХ веке фотография становилась все более доступной.
В конце концов, 35-мм пленка стала доминировать на потребительском рынке. Камеры с пластиковым корпусом работали по тому же принципу, что и первые потребительские системы с поворотным объективом. К ним относятся такие примеры, как камера «Русский горизонт», впервые выпущенная в 1967 году. Сегодня вы все еще можете экспериментировать с компактными 35-мм панорамными камерами, включая «Горизонт». Другие панорамные пленочные камеры, доступные сегодня, обычно используют подход с фиксированным объективом, например, красиво оформленные панорамные камеры-обскуры, созданные Ondu.
Цифровые разработки
Атриум, сфотографированный в 2003 году. Изображения с Nikon Coolpix 5000 с панорамной головкой Kaidan и штативом Manfrotto. Изображение было сшито вместе с помощью PTgui. (Фото: Рич Невироски-младший, Wikimedia Commons, CC BY 2.5)
Хотя пленка далеко не умерла, сегодня доминируют цифровые камеры. Подобно панорамам 19-го века, созданным из нескольких дагерротипов или негативов с мокрой пластины, ранние цифровые панорамы были сняты путем привязки изображений, когда камера вращалась вокруг оси.
Позволив изображениям частично перекрываться, компьютерное программное обеспечение можно использовать для «сшивания» цифровых изображений вместе. Другой метод использует 9Катадиоптрические камеры 0093 — система зеркал и линз — для захвата невероятно широкого поля зрения из одной точки. Затем это изображение может быть сведено в панораму. Преимуществом этой системы является возможность захвата всей панорамы в один момент.
Сегодняшнее панорамное фото
Катание на лыжах в Швейцарии в марте 2019 года, снято в панорамном режиме на iPhone 6. (Фото: MADELEINE MUZDAKIS/My Modern Met)
Сегодня большинство людей ходят с цифровой камерой Cirkut в кармане. Панорамный режим на смартфоне работает почти так же, как когда-то старинные камеры. Человек, держащий телефон, должен вращаться вокруг оси, пока не будет достигнуто желаемое поле зрения. Камера записывает изображение в цифровом виде по мере его вращения — так же, как в случае с камерой с поворотным объективом.
Важно держать руки устойчивыми и ровными; двигайтесь слишком быстро, и вы увидите полосатость изображения — проблема, с которой панорамные фотографы сталкивались почти два столетия.
Среда, с помощью которой фотографы снимают панорамные изображения, прошла долгий путь, но сами изображения по-прежнему впечатляют своим размером и полем зрения. В следующий раз, когда вы возьмете телефон, чтобы запечатлеть потрясающий вид или сфотографировать вечеринку с семьей и друзьями, подумайте об использовании режима панорамы. Возможно, друзья могут бежать за вами, появляясь несколько раз на одном изображении. Возможно, вы сможете захватить полный 360-градусный обзор в своем любимом месте.
Панорамный режим полон возможностей. Пришло время экспериментировать!
Горы Адирондак снято в режиме «Пано» осенью 2020 года, iPhone 11 Pro. (Фото: MADELEINE MUZDAKIS/My Modern Met)
Статьи по теме:
Как развитие камеры изменило наш мир
18 знаменитых первых фотографий в истории: от самой старой фотографии до первого в мире Instagram
Два нераспечатанных рулона пленки Kodak 1880-х годов дополняют удивительно редкую музейную коллекцию
Узнайте, как доступная камера Kodak Brownie сделала фотографию доступной
Панорамная фотография для начинающих | B&H eXplora
Панорамная фотография никогда не была проще, чем сегодня, благодаря цифровым технологиям.
Во времена пленки для панорамных фотографий вы могли покупать дорогие, но очень функциональные панорамные камеры, сшивать изображения вместе в фотолаборатории или физически вырезать и склеивать отпечатки вместе. Панорамные камеры, такие как серии Linhof Technorama, Hasselblad XPan, Fujifilm GX617 или камеры серии Horseman SW, — это красивые машины и по-прежнему невероятно жизнеспособные инструменты, если вы хотите делать изысканные панорамные изображения на пленку. В отделе бывших в употреблении B&H часто есть хороший выбор великолепных панорамных камер на выбор. А если вам необходимо снимать цифровые изображения, Horseman производит специальные крепления, которые подходят для популярных цифровых задников среднего формата.
Для тех, кто ищет опыт панорамной съемки, не прибегая к дорогостоящему специальному оборудованию, Lomography производит множество специальных панорамных камер, которые снимают 35-мм пленку, а также камеры, предлагающие панорамные режимы на некоторых среднеформатных пленочных камерах компании.
Сегодня, благодаря цифровым технологиям, панорамная съемка никогда не была проще.
Панорамные режимы
Практически все компактные, беззеркальные, цифровые зеркальные камеры и камеры для смартфонов имеют встроенные панорамные режимы. Как только вы выбираете этот режим, фотограф поворачивает камеру вправо или влево, вверх или вниз, и компьютер камеры автоматически начинает делать фотографии и сшивать их вместе в один панорамный файл. Это настолько просто, насколько это возможно!
Панорама B&H Super S разрыв , снято на iPhone 6. © Jill Waterman
ваша камера или
3 900 если вы хотите иметь возможность сшивать необработанные изображения для создания панорамы, вы всегда можете создать свои собственные панорамные изображения вручную. Успех зависит от простого планирования и надежного процесса. Процесс прост, но есть подводные камни, которых следует избегать, и аппаратное обеспечение, которое может вам помочь.
Самостоятельная установка
Положение камеры Вы можете снимать горизонтальные панорамы с камерой в «пейзажном» положении, но лучше всего повернуть камеру на 90 градусов в «портретное» положение. Это позволяет вам при постобработке обрезать верх и низ по мере необходимости, чтобы основной объект оставался внутри панорамы. Кроме того, вы должны получить меньше искажений.
Выбор объектива Сначала вы можете подумать, что широкоугольный объектив лучше всего подходит для панорамы. Это не всегда так. В зависимости от объекта съемки и расстояния до него лучше всего подойдет обычный или телеобъектив. Помните, что одним из достоинств панорамного изображения являются детали, которые вы можете увидеть на финальном снимке. Это означает, что ваш объектив должен приближать вас к объекту относительно близко, но не слишком близко. Вам понадобится некоторое пространство над и под объектом (например, линия горизонта или горный хребет), когда вы панорамируете пейзаж, но не слишком много места, так как целью является изображение, которое является очень широким, но не очень высоким.
Стандартный объектив 50 мм часто идеально подходит для панорам. Если вам нужно больше охвата, используйте более длинные фокусные расстояния. Объективы с фиксированным фокусным расстоянием лучше всего подходят для согласованности, так как вы не хотите случайно изменить фокусное расстояние на зуме во время панорамирования.
Помните, что одним из основных преимуществ съемки панорамного изображения, состоящего из нескольких кадров, является возможность получения сложных деталей при просмотре изображения с близкого расстояния. Широкоугольный объектив контрпродуктивен для этой цели.
Панорама пляжа, снятая на Sony NEX-6 ILC. © Nick McGuire
Направление панорамирования Я не знаю, почему это так, но если вы не знаете, поддерживает ли ваша камера или программное обеспечение обратное, ваше панорамирование должно быть слева направо, так как автоматические режимы камеры используют это и механизмы постобработки также работают слева направо.
Не спрашивайте меня, почему. Просто сделай это! Некоторые камеры и программное обеспечение футуристического типа допускают панорамирование справа налево, но в старой школе по умолчанию было панорамирование слева направо.
Поддержка Штатив не только помогает стабилизировать камеру и дает вам больше шансов на получение четких изображений, но и значительно упрощает панорамирование сцены между экспозициями и поддерживает точное кадрирование. Кроме того, дистанционный или тросовый спуск затвора добавит общей стабильности.
Уровень Вы хотите сохранить уровень панорамирования. Вы можете убедиться в этом с помощью пузырьковых уровней, которые либо встроены в штатив или головку штатива, либо прикреплены к башмаку вспышки вашей камеры. Некоторые камеры имеют встроенные индикаторы уровня. Вы должны быть на одном уровне не только по левому и правому борту, но и по носу и корме.
Режимы экспозиции Ручной режим должен быть вашим выбором для вашей панорамы.
Другие режимы могут работать, но могут привести к одной из вышеупомянутых ловушек, поэтому используйте ручной режим, чтобы улучшить свои шансы. Что вы хотите сделать, так это получить последовательную экспозицию через панораму. Часто одна часть пейзажа ярче другой. Что касается меня, я хочу, чтобы финальное изображение выглядело так, как я вижу через камеру — как будто я сделал панораму за одну экспозицию.
Панорама горизонта Сан-Франциско с маяка Алькатрас, снятая на цифровую зеркальную камеру Nikon D300. © Todd Vorenkamp
Чтобы установить экспозицию, я устанавливаю камеру на среднюю диафрагму для максимальной резкости и в режиме приоритета диафрагмы просматриваю пейзаж и смотрю на экспонометр моей камеры и информацию об экспозиции. Я мысленно регистрирую требуемую скорость затвора в ярких участках и в темных участках, а затем выбираю значение выдержки между ними. Если разницы нет или разница всего в один стоп, я выберу более темную экспозицию, так как знаю, что могу извлечь больше деталей из теневых областей панорамы.
Некоторые специалисты по панораме регулируют диафрагму вместо скорости затвора для точной настройки экспозиции. Независимо от того, какой режим вы выберете, проверьте свои гистограммы и обратите внимание на отсечение во всех каналах. Если вам нужна более короткая выдержка, чтобы заморозить движение в кадре (кадрах), и вы не хотите больше открывать диафрагму, вы можете увеличить ISO по мере необходимости.
Режимы фокусировки В зависимости от объекта панорамы и расстояния можно сначала выполнить фокусировку с помощью автофокусировки, а затем переключиться на ручную фокусировку, чтобы фокальная плоскость не смещалась. Будьте осторожны, чтобы не ударить кольцо фокусировки во время панорамирования, если вы делаете это.
Панорама бурлящего прибоя, снятая на Sony NEX-6 ILC. © Nick McGuire
В Интернете есть много мнений о фокусе и панорамах. У меня не было проблем с использованием автофокуса, чтобы зафиксировать меня на удаленной сцене и оставить автофокус включенным для всех кадров, но если вы фокусируетесь на объектах ближе, чем бесконечность, или ближе, чем половина гиперфокального расстояния для данного объектива, вам нужно примите сознательное решение о вашем фокусном расстоянии.
Баланс белого Убедитесь, что для панорамы выбран определенный баланс белого. Если вы оставите камеру на автоматическом балансе белого (AWB), а камера сдвинется, пока вы делаете экспозицию, у вас может быть кошмар постобработки/смешивания. Если вы забыли об этом, но снимали панораму в необработанном виде, вы можете настроить баланс белого в постобработке, прежде чем сшивать изображения. Для тех, кто снимает с пользовательскими настройками баланса белого, не стесняйтесь использовать эту технику в своих панорамах.
ИСО Убедитесь, что ваш ISO не установлен на Auto ISO. Также лучше снимать при более низких значениях ISO, чтобы по возможности избежать нежелательного шума.
Фильтры Ваш удивительный поляризационный фильтр может сделать это небо и эти облака яркими, но когда камера меняет угол на солнце, поляризация также смещается. Снимайте панорамы без фильтров, чтобы избежать проблем позже.
Панорама песчаной прогулки, снятая на Sony A7r ILC.
© Ник Макгуайр
Для успеха панорамы крайне важно иметь одинаковые настройки камеры (выдержка, диафрагма, ISO, баланс белого и фокусировка) на изображении.
Процесс «Сделай сам»
Если в вашей камере нет панорамного режима или вы просто хотите сделать это в олдскульном стиле, вот как я это делаю. Я делаю «темный кадр» перед началом и после завершения панорамы. Таким образом, когда я просматриваю изображения позже, я знаю, где начинается и заканчивается панорама, так как вполне вероятно, что у меня могут быть похожие изображения из той же съемки. Чтобы получить темный кадр, я просто держу руку над объективом, пока снимаю экспозицию с ручными настройками, которые буду использовать для панорамы.
При панорамировании между кадрами вы хотите, чтобы изображения перекрывались на 20–50 %. В целом, чем больше совпадений, тем лучше. Я использую опцию сетки в видоискателе, чтобы помочь мне с перекрытием; поскольку он установлен для третей кадра, я получаю здоровое перекрытие, когда использую обе стороны сетки.
Панорама озера северной части штата Нью-Йорк, снятая в Государственном парке Минневаска на Olympus TG-850. © Allan Weitz
Чтобы проиллюстрировать это словами, я смотрю в камеру на свой первый кадр, нажимаю затвор, а затем, прежде чем выполнить панорамирование вправо, ищу объект, который выстраивается справа или рядом с ним вертикальная линия сетки. Затем я панорамирую до тех пор, пока этот объект не выровняется с левой линией сетки, и я делаю следующее изображение. Повторяйте по мере необходимости, пока не закончите.
Закончите с темной рамкой, чтобы позже упростить организацию файлов.
И, прежде чем собраться, пристрели еще одного-двух. Путем проб и ошибок я обнаружил, что мне нужно несколько панорам, чтобы получить одну «идеальную». Вполне вероятно, что один кадр не такой резкий, как другие, или что-то могло изменить положение без вашего разрешения, или вы выставили экспозицию. Будьте внимательны, меняйте экспозицию, если нужно, но сделайте хотя бы пару панорам, разделенных темными рамками, чтобы иметь наилучшие шансы на успех, когда придет время их сшивать!
Вертикальная панорама Эмпайр Стейт Билдинг, снятая на камеру Sony NEX-6 ILC.
© Nick McGuire
Подводные камни
Приведенный выше раздел по настройке призван помочь вам избежать некоторых аппаратных проблем, которые могут испортить ваши панорамные изображения. Есть внешние элементы, которые вы не можете контролировать, и о которых вы также должны помнить.
Параллакс Параллакс, или смещение объекта при изменении положения камеры, — враг панорамного фотографа. Если вы фотографируете далекий пейзаж, этот эффект минимизируется большим расстоянием до объекта; однако, если рядом с камерой есть объекты на переднем плане, параллакс, создаваемый при панорамировании камеры, может вызвать головную боль для программного обеспечения для сшивания и оставить ваше изображение с нежелательными проблемами.
Чтобы уменьшить эффекты параллакса, избегайте близких объектов на переднем плане, используйте систему камеры, которая позволяет объективу оставаться неподвижным, в то время как пленка или датчик перемещаются за ним так, как это позволяет камера обзора, или убедитесь, что ваша камера панорамируется вокруг объектива.
точка параллакса с помощью специальной панорамной системы крепления, которая позволяет плавно регулировать камеру. Если у вас есть одно из этих креплений, производитель должен предоставить инструкции по его использованию, а также есть несколько онлайн-руководств, которые помогут вам.
Движение по сцене Визуализируйте съемку городского пейзажа через оживленный водный путь. Обратите внимание на движущиеся лодки и корабли и постарайтесь убедиться, что они находятся полностью в кадре, а не на краю, где они могут появляться на двух или даже трех изображениях по мере движения по сцене. Если объект перемещается по вашей панораме, просто отрегулируйте перекрытие по мере необходимости. Помните, у вас не может быть слишком много совпадений. Как только объект выйдет из кадра, продолжайте, как планировалось.
Движение в сцене Следите за вещами в постоянном движении. Волны, деревья на ветру, флаги и т. д. Они находятся в движении и, если их запечатлеть более чем в одном кадре, могут вызвать затруднения в процессе сшивания.
Уровень Иногда пузырьковый уровень на штативе может быть не очень точным, если пузырь «прилипает» или вы смотрите на него под углом. Проведите камеру по панорамной сцене, чтобы убедиться, что вы стоите ровно, прежде чем начать съемку.
Приспособление для панорамной фотосъемки
Как и многие другие вещи в мире фотографии, вы можете сделать панорамный снимок вообще без какого-либо оборудования, вне камеры. Но есть множество инструментов, которые упростят задачу и сделают ее более точной. Ниже приведен краткий обзор распространенных панорамных передач. Если вы хотите получить более подробную информацию, перейдите к этой партнерской статье.
Панорама горизонта Нью-Йорка с крыши Вильямсбурга, снятая на Nikon D90. © Eric Reichbaum
Прочный штатив не требуется для создания хорошего панорамного изображения, но он, безусловно, даст вам больше шансов на успех при съемке. Во что бы то ни стало, используйте штатив, но если вы находитесь в поле без штатива, а панорамный снимок так и просится, пусть вас не останавливает отсутствие поддержки!
Специально разработанные крепления для панорамных и интервальных камер помогают панорамным фотографам получить желаемый снимок.
Некоторые панорамные головки предназначены для того, чтобы камера оставалась полностью горизонтальной при вращении, многие имеют калиброванные маркировки и храповики, помогающие в точном панорамировании, а некоторые можно запрограммировать на автоматическое панорамирование камеры с определенным шагом. Некоторые даже поставляются с проприетарным программным обеспечением для программирования крепления и помощи в сшивании после захвата.
Эти крепления предназначены для камер всех типов, от цифровых зеркальных камер до компактных и экшн-камер, таких как GoPro.
Как мы обсуждали выше на тему параллакса, многие из этих панорамных систем крепления предназначены для поворота вашей камеры и системы объектива точно вокруг точки отсутствия параллакса вашего снаряжения, если вы правильно его настроите.
Панорама метро Нью-Йорка, снято на iPhone 6. © Jason Wallace
Альтернативные параметры панорамы
Многорядная Если у вас есть система панорамного монтажа, вертикальный слайд можно использовать для создания многорядной панорамы путем смещения камеры вверх или вниз для создания еще одного или нескольких слоев изображений.
. Если вы попробуете это без скользящей опорной системы, наклон камеры вверх или вниз приведет к искажению перспективы и создаст сложное решение для процесса сшивания; однако некоторые современные программы могут справиться с этим, поэтому вы можете попробовать.
Объектив управления перспективой Специально разработанные объективы управления перспективой, также называемые объективами с наклоном и сдвигом, не только отлично подходят для устранения искажений перспективы при фотографировании зданий. Они также являются отличными инструментами для панорамных изображений. Вместо панорамирования камеры просто переместите объектив через панораму!
Перейти по вертикали 99,9% панорамных изображений снимаются при панорамировании по горизонтали. Попробуйте вертикальный для творческих изменений!
Вертикальная панорама Нью-Йорка, снятая на камеру Sony Cybershot DSC-WX1. © Allan Weitz. Один из постоянных экспертов B&H Photo по панорамной фотографии, Роман Тычковский, говорит: «Поскольку я занимаюсь этим достаточно долго, я бросаю себе вызов с объектами, которые не поддаются естественной панораме.
Примеры включают людей, транспортные средства и паромы, движущиеся со скоростью более 20 миль в час. Из-за деталей, снятых с большого расстояния, вы можете через поляризованное окно в каюте парома увидеть линии на бутылках с горчицей, за которыми женщина тянется на камбузе».
Еще одна вертикальная панорама Нью-Йорка, снятая на камеру Sony Cybershot DSC-WX1. © Allan Weitz
Наконец-то сшить вместе — это просто!
В настоящее время большинство популярных программ для постобработки фотографий обладают органичной возможностью сшивания панорамных изображений в один цельный файл. Эти системы значительно улучшились за последние годы. Существует также ряд сторонних программных систем, специализирующихся на панорамах, которые могут предоставить больше контроля и возможностей для сшивания.
Ночная панорама Лонг-Бич, Лонг-Айленд, променад, снятая на цифровую зеркальную камеру Nikon D610. © Nick McGuire
Панорамные фотографии — это весело!
Помимо визуальных эффектов, одним из лучших аспектов создания удачного панорамного изображения является то, что это весело.
Когда я замедляю фотографический процесс и добавляю в него некоторые технические приемы, я нахожу это более полезным, чем получение мимолетного снимка. Это то, что привлекает меня к ночной фотографии, а также к панорамной фотографии. Кстати говоря, пришло время отправиться снимать ночные панорамы!
Панорама Нижнего Манхэттена из Бруклина, снятая на Nikon D5300. © Allan Weitz
У вас есть другие указания или советы? Пожалуйста, поделитесь ими в разделе комментариев ниже, и спасибо за чтение!
100+ лучших панорамных снимков | Скачать бесплатные изображения на Unsplash
100+ лучших панорамных изображений | Download Free Images on Unsplash- Фото в рамкеФотографии 10k
- Стопка фотографийКоллекции 10k
- A group of peopleUsers 3
panorama
outdoor
nature
landscape
scenery
mountain
success
wireless technology
business
Italy pictures & images
dolomites
panorama
Гонконг
Остров Гонконг
Hd водные обои
Пиренейский национальный парк
Hd зеленые обои
пустыня
Landscape images & pictures
Hd scenery wallpapers
Hd blue wallpapers
suisse
saignelégier
étang de la gruère
concepts
creativity
Hd dark wallpapers
france
lac du mont-cenis
lanslebourg-mont-cenis
gestütshof
deutschland
sankt johann
идеи
произведение искусства
вовлеченность сотрудников
–––– –––– –––– – –––– – –––– –– – –– –––– – – –– ––– –– –––– – –.
Harbour
Urban
Природные изображения
Lake
Австрия
Scotland
Великобритания
Highland
Blank
Корзина
Window Blinds
Flower Image
село штормовое
крымский полуостров
Hd обои небо
Hd grey wallpapers
outdoors
building
lake tekapo
neuseeland
be alright
Mountain images & pictures
Hd snow wallpapers
evening
Related collections
Panoramic
134 photos · Curated by Анна.0003desert road
golden hour
success
wireless technology
business
hong kong
hong kong island
Hd water wallpapers
Landscape images & pictures
Hd scenery wallpapers
Hd blue wallpapers
Штормовое село
крымский полуостров
Hd обои небо
озеро текапо
neuseeland
будь в порядке
Горные картинки
Hd snow wallpapers
evening
harbor
urban
scotland
uk
highland
pyrénées national park
Hd green wallpapers
wilderness
suisse
saignelégier
étang de la gruère
concept
креативность
темные обои Hd
gestütshof
deutschland
sankt johann
изображения пустыни
пустынная дорога
золотой час
–––– –––– –––– – –––– –––– –– – –– –––– – – –– ––– –– –––– – –.
Природные изображения
Lake
Австрия
ИТАЛИЯ ИЗОБРАЖЕНИЯ И изображения
Dolomites
Panorama
Бланк
Корзина
Оконные жалюзи
Изображения цветов
Изображения подсказки и картинки
Apple iphone
9002.Панорамный
134 photos · Curated by AnnaPANORAMIC
29 photos · Curated by CUBE ARTPanoramic
16 photos · Curated by al saHd grey wallpapers
outdoors
building
france
lac du mont -cenis
lanslebourg-mont-cenis
идеи
произведение искусства
вовлечение сотрудников
логотип UnsplashUnsplash+В сотрудничестве с Getty Images
Unsplash+
Разблокировать
Успех
Беспроводная технология
Бизнес
Лок Ю Чунг
Порт
Городской
–––– –––– –––– –––––– – –– –––– – – –– ––– –– –––– – –.
Thomas Galler
Природные изображения
Lake
Австрия
Италия Pictures & Images
Dolomites
Panorama
Sebastian Astecker
Scotland
UK
Highland
UK
UK
0003
Seriey Kim
Гонконг
Остров Гонконга
HD Water Wallpapers
LONSPLASH LOGOUNSPLASH+ В сотрудничестве с Getty изображения
Winke Winke
9000.ship.
Национальный парк Пиренеев
Зеленые обои Hd
Дикая природа
Kenneth Hargrave
Пейзажи и картинки
Обои HD пейзажи
Hd blue wallpapers
Tamara Gore
Flower images
Sunflower images & pictures
apple iphone
Jean Brochard
suisse
saignelégier
étang de la gruère
Alexey Fedenkov
shtormovoe village
crimean полуостров
Hd обои небо
Логотип UnsplashUnsplash+В сотрудничестве с Getty Images
Unsplash+
Разблокировать
concepts
creativity
Hd dark wallpapers
Hd grey wallpapers
outdoors
building
Niklas Ohlrogge
lake tekapo
neuseeland
be alright
Arnaud Mariat
france
lac du mont-cenis
lanslebourg-mont-cenis
Marc Rentschler
gestütshof
deutschland
sankt johann
John Thomas
Mountain images & images
Hd snow wallpapers
evening
Unsplash logoUnsplash+In collaboration with Getty Images
Unsplash+
Unlock
ideas
art product
employee engagement
Madhu Shesharam
Desert images
desert road
золотой час
Просматривайте изображения премиум-класса на iStock | Скидка 20% на iStock
Логотип UnsplashСделайте что-нибудь потрясающее
Панорамная фотография — HawkEye Media LLC
PANORAMA
[pan-
uh – ram – uh , – rah -m uh ]noun
- an unobstructed and wide view of an extensive area in all directions .
- расширенное графическое изображение или циклорама пейзажа или другой сцены, часто демонстрируемая по частям и непрерывно проходящая перед зрителями.
Что такое панорамная фотография и чем она отличается от простой фотографии широкоугольным объективом?
Человеческое зрение имеет среднее поле зрения около 200° на 100°, соотношение сторон 2:1 и может быть названо панорамным. Наша обычная интерпретация — это панорамный взгляд на мир, по которому мы путешествуем. Панорамная фотография обычно определяется как изображения с соотношением сторон 2:1 или больше, результирующие изображения имеют форму широкой полосы с соотношением сторон 4:1, а иногда и 10:1, охватывая поля зрения в 360 градусов!
Мы создаем несколько типов панорамных фотографий, от цилиндрических фотографий до полностью иммерсивных и интерактивных сферических виртуальных туров на 360°.
Цилиндрическая фотография с высоким разрешением
Эти типы изображений могут быть напечатаны с чрезвычайно высоким разрешением и размером печати.
Они могут включать частичные или полные 360-градусные изображения с различным соотношением сторон, в зависимости от требований клиента. Этот тип изображений отлично подходит как для печатных, так и для цифровых презентаций, таких как интерактивный веб-интерфейс «гигапанорама», который позволяет пользователю взаимодействовать и масштабировать полученное изображение с высокой степенью детализации.
Предыдущий
Следующий
У нас есть возможность создавать эти изображения как с земли, так и с высоты птичьего полета, используя точность, контролируемую GPS, для создания эскизов видов для архитектуры.
Аэрофотосъемка с панорамным обзором стала необходимой частью процесса проектирования в современном девелопменте недвижимости. Аэрофотосъемка с высоким разрешением — бесценный инструмент для отображения текущих реальных перспектив, помогающий архитекторам в планировании участка, дизайне, ориентации и внутренней планировке их проектов.
СФЕРИЧЕСКИЕ ПАНОРАМНЫЕ ВИРТУАЛЬНЫЕ ТУРЫ
Используя цифровые камеры высокого разрешения, широкоугольные объективы или объективы типа «рыбий глаз» и программное обеспечение для сшивки, можно сделать серию изображений и склеить их вместе в изображение, охватывающее полный обзор 360 X 180. Эти изображения просматриваются с помощью программного обеспечения, позволяющего зрителю взаимодействовать в режиме полного погружения и переходить от изображения к изображению. Эти типы изображений часто содержат несколько точек или «узлов», создающих тур, и чаще всего используются для продажи недвижимости.
ВОЗДУШНЫЙ ТУР HURRICANE IKE
Это виртуальный воздушный тур по полуострову Боливар на побережье Техаса. Этот тур показывает ущерб сразу после урагана Айк в 2008 году и сравнивает его с текущим состоянием в 2017 году. проектирование планировок зданий и внутренних конфигураций. Исследования видов позволяют нам захватить панорамный вид с очень точными высотами и с высокой плотностью пикселей, который репрезентативен для определенного этажа будущего здания или высотного здания.
Эти исследования видов могут помочь продемонстрировать виды относительно существующих зданий, окружающих участок, и помочь архитекторам полностью оптимизировать размещение, чтобы воспользоваться преимуществами уникальной конфигурации и среды каждого участка.
Аэрофотосъемка и панорамные изображения с высоким разрешением чрезвычайно полезны для определения местоположения структур на территории проекта. Аэрофотосъемка панорамных видов может создать «стопку» видов, представляющих несколько уровней, чтобы помочь определить оптимальное размещение здания. Эти исследования видов могут помочь продемонстрировать виды относительно существующих зданий, окружающих участок, и помочь архитекторам полностью оптимизировать размещение, чтобы воспользоваться преимуществами уникальной конфигурации и среды каждого участка.
Одна картинка стоит тысячи слов. Нигде это так не верно, как в сфере недвижимости. Ставки высоки и включают озабоченность заинтересованных сторон по обе стороны так называемого стола развития.
Инвесторы, кредиторы, правительственные учреждения, общественные группы, а также соседние предприятия и жители заинтересованы в том, как новая застройка повлияет на их интересы
Аэрофотоснимки и панорамные изображения придают поразительный реализм высокой четкости и создают убедительные, легкодоступные презентации . Будь то отдельные фотографии, включенные в рендеринг фонов, или интерактивные 360-градусные визуальные эффекты, воздушные и панорамные изображения создают эффектные и визуально насыщенные презентации, которые помогают аудитории «увидеть» конечный продукт. Использование фотографий сверхвысокой четкости позволяет разработчикам донести свое видение на совершенно новом уровне, будь то муниципальные планировщики, инвесторы, потенциальные пользователи, партнеры по развитию или члены сообщества.
360-градусная панорамная фотография с Panoweaver
Панорамная фотография
Панорамная фотография — тип панорамных фотографий
360-градусная панорамная фотография — создание фотографий 360*180 градусов
Рабочий процесс панорамной фотографии с объективом «рыбий глаз» и Panohead
1.
Соберите оборудование
2. Предустановленная камера
3. Отрегулируйте режим экспозиции
4. Отрегулируйте размер и качество изображения
5. Настройте камеру
6. Съемка фото «рыбий глаз»
Ключ для создания панорамных фотографий 360*180 градусов — Panorama Software
У панорамной фотографии может быть много определений, но для нас это формат фотографии, позволяющий делать великолепные широкоугольные фотографии. Этот широкий угол, о котором мы говорим, не является обычным широким углом, он должен быть больше, чем поле зрения человека (около 75 градусов). Это консенсус, который был разработан людьми, создающими панорамные фотографии. На самом деле нет формального определения, говорящего нам, что это широкоугольный, а это панорамный.
Примечание. Что такое панорама?
В 19 веке, когда люди изобрели панорамную фотографию, сшивка изображений — единственный способ получить панораму.
В 1851 году Мартин Берманкс сделал несколько фотографий на Ринкон-Хилл в Сан-Франциско. Говорят, что на этой фотографии изначально было одиннадцать пластин. На этой фотографии мы видим, как Ринкон Хилл склеил несколько фотографий вместе, а затем получил эту панорамную фотографию.
В то время панорамные фотографии часто подразумевали широкий угол и широкое соотношение сторон (как на картинке выше). Эта ситуация продолжалась до эпохи цифровой фотографии.
[назад]
С появлением программного обеспечения для обработки изображений люди начали использовать цифровые изображения для создания панорамных фотографий. Например, они используют One-shot, оптику для моментального захвата бесшовных 360-градусных изображений или делают несколько снимков для сшивания.
С помощью ваншота мы можем быстро получить 360-градусную панораму по горизонту, но из-за ограничения по вертикали мы не можем видеть верх и низ из ваншота панорамных фотографий.
Со стандартным объективом или широкоугольным объективом мы можем сделать несколько цифровых снимков, чтобы сшить панорамную фотографию, которая имеет широкий угол по горизонтали и вертикали, и этот широкий угол часто составляет менее 180 градусов.
[Больше панорамных фото]
Хотя эти типы панорам могут удовлетворить некоторые наши потребности, погоню за фотографами невозможно остановить. Теперь панорамная съемка 360*180 градусов является очень важной частью фотографии. Поле зрения 360*180 градусов позволяет нам видеть каждый уголок места с его панорамы. А с помощью средства просмотра панорам мы можем получить эффект виртуальной реальности на компьютерах, что дает нам большее ощущение погружения, чем плоские панорамные изображения.
[назад]
Создать панорамную фотографию 360*180 градусов непросто, если у вас нет сильного программного обеспечения для сшивки панорам и некоторого специального оборудования (объектив типа «рыбий глаз» и панорамная головка).
Ограничения для стандартного или широкоугольного объектива
Если вы используете стандартный или широкоугольный объектив для съемки нескольких снимков, вам потребуется сделать десятки снимков, чтобы создать панораму 360*180 градусов.
Поскольку поле зрения стандартного объектива и широкоугольного объектива ограничено, неизбежно делать много снимков. Такой большой объем работы отнимает много времени, а также усложняет съемку.
Как мы можем сделать минимум снимков, чтобы получить панорамный снимок?
Решение состоит в использовании объектива «рыбий глаз». Объектив «рыбий глаз» обладает сверхширокоугольным объективом и имеет угол обзора 180 градусов по диагональной линии. Таким образом, для панорамы 360*180 градусов нужно всего 4-8 фотографий.
[назад]
Рабочий процесс панорамной фотографии с объективом «рыбий глаз» и панорамной головкой
Основным оборудованием для панорамной съемки являются: цифровая камера (сокращенно DC), объектив «рыбий глаз», панорамная головка и штатив.
1. Сборка оборудования
Панорамная головка необходима для панорамной фотографии, которую можно разделить на два типа: панорамная головка для объектива и панорамная головка без объектива.
Первый применяется к определенным объективам и камерам, которые просты в установке, поскольку нет необходимости определять узловую точку. Последний можно использовать для всех объективов и камер, однако вам нужно самостоятельно определить узловую точку. В следующей главе даны инструкции по сборке различного оборудования.
Советы: Как найти узловую точку камеры с панорамной головкой JTS?
2. Предустановка камеры
Однократной предварительной настройки достаточно при съемке множества изображений для разных сцен.
Установить как режим «рыбий глаз» (дополнительно)
Примечание : Цифровой зеркальной камере не нужно настраивать это.
Для серии Nikon Coolpix и некоторых камер без режима «рыбий глаз» необходимо установить вручную перед съемкой. Вот краткая инструкция.
| Модель камеры | Инструкция по подбору объектива |
| Nikon Coolpix 5400/8700/8400 | Перейдите в меню и выберите Объектив>Рыбий глаз |
| Nikon Coolpix 4500/995 | Перейдите в меню и выберите «Объектив»> «Рыбий глаз 1» для полной круговой съемки «рыбий глаз»; ИЛИ Объектив>Рыбий глаз2 для полнокадровой съемки «рыбий глаз».![]() |
| Nikon Coolpix 5700 и DC без режима «рыбий глаз» | Режим макросъемки: зум заблокирован на широком угле Замер экспозиции: Центровзвешенный Режимы вспышки: Отмена вспышки |
3. Отрегулируйте режим экспозиции
Слово «фотография» происходит от греческого и буквально означает «легкое письмо». Освещение в основном регулируется диафрагмой и выдержкой. Режимы съемки, доступные в большинстве цифровых камер, включают автоматический режим, режим сцены, программный автоматический режим, автоматический режим с приоритетом выдержки, автоматический режим с приоритетом диафрагмы и ручной режим. Последние четыре режима работают при панорамной съемке, как и режим помощи при панорамировании.
Примечание : НЕ ИСПОЛЬЗУЙТЕ автоматический режим для панорамной съемки.
Если у вас есть опыт в фотографии, рекомендуется использовать ручной режим для выбора подходящей диафрагмы и скорости затвора в зависимости от окружающего освещения.
Если вы зеленая рука, обычный совет — выбрать автоматический режим с приоритетом диафрагмы. Установите большее значение F, чтобы получить маленькую апертуру, чтобы была достигнута более глубокая «глубина резкости» (DOV) с гораздо более широким охватом чистой области изображения. (Чем больше значение F, тем меньше диафрагма.) Например, F5.0 или F6.0 лучше, чем F2.5 или F3.3 по умолчанию.
Обратите внимание, если окружающее освещение немного темнее. Малая диафрагма может привести к увеличению времени экспозиции, т. е. скорости затвора. Причина в том, что свет вспышки не работает с объективом «рыбий глаз», так как объектив «рыбий глаз» покрывает гораздо более широкое поле зрения, чем объектив традиционной камеры. Более 1/4 скорости затвора может привести к явным помехам на изображении. Таким образом, вы должны найти правильное значение, чтобы сбалансировать диафрагму и скорость затвора.
Примечание : Стабильный штатив чрезвычайно важен, если время экспозиции очень велико.
4. Настройте размер и качество изображения
Разрешение и качество изображения «рыбий глаз» в значительной степени определяют качество панорамы. Чем лучше изображение «рыбий глаз», тем лучше будет сшитая панорама. Конечно, он занимает больше места. Поэтому при съемке рекомендуется использовать максимально возможное разрешение.
Что касается качества изображения, «FINE» — все в порядке. «Высокий» можно применять для получения изображений высокого качества. При выборе «Высокий» размер изображения составляет около 10 МБ, поэтому требуется карта памяти большего размера. Исходный формат файла — TIFF. Camera Raw Image также доступно в некоторых камерах.
[назад]
5. Настройка камеры
Повторяйте следующие шаги, чтобы настроить камеру каждый раз при съемке новой сцены.
Настройка баланса белого
Баланс белого — это название, данное системе коррекции цвета для различных условий освещения. Обычно наши глаза компенсируют различные условия освещения, но при съемке цифровой камерой камера должна найти «точку белого» (предположение, что белый объект должен казаться белым), чтобы скорректировать другие цвета, отбрасываемые тем же светом.
Неправильный баланс белого может привести к большему количеству синего или красного цвета, чем исходный цвет.
Обычные пользователи могут выбрать Авто в меню баланса белого. Профессионалы могут выбрать «Предустановку баланса белого» или самостоятельно отрегулировать баланс белого.
Отрегулируйте диафрагму
При панорамной съемке больший DOV (глубина резкости) помогает получить четкое изображение в более широком диапазоне. Поэтому важно использовать меньшую апертуру в панорамной фотографии, чем в обычной фотографии. Чтобы уменьшить диафрагму, увеличьте F до значения F5.0 или F6.0.
Регулировка скорости затвора
Как упоминалось в предыдущей главе, более 1/4 выдержки затвора может привести к явным шумам на изображении. Поэтому, если скорость затвора превышает 1/4 секунды в автоматическом режиме с приоритетом диафрагмы, рекомендуется переключиться в ручной режим.
Настройка компенсации экспозиции
Если после установки диафрагмы и скорости затвора изображение на мониторе слишком темное, выберите положительное значение компенсации экспозиции.
Точно так же, если изображение на мониторе слишком яркое, увеличивайте компенсацию экспозиции, пока не будет достигнут желаемый эффект.
Примечание : При съемке двух или трех изображений «рыбий глаз» одной и той же сцены не изменяйте значение компенсации экспозиции. В противном случае это приведет к появлению четкого шва в сшитой панораме. Следующее изображение является примером. Кроме того, не увеличивайте компенсацию экспозиции до значительно более высокого значения. Это может привести к передержке, так что сшитая панорама из изображений «рыбий глаз» будет иметь отчетливый «синий шов».
Примечание : Приведенное выше панорамное изображение склеено из изображений, снятых с другим значением компенсации экспозиции. Существуют очевидные различия в яркости изображения в области двух изображений типа «рыбий глаз».
Установить блокировку экспозиции (дополнительно)
Примечание : Цифровой зеркальной фотокамере не нужно настраивать эту настройку.
Установка блокировки AE (автоматической блокировки экспозиции) — один из самых важных шагов в панорамной фотографии. Блокировка автоэкспозиции — это возможность заблокировать расчетные параметры экспозиции камеры (диафрагму, выдержку и чувствительность) для серии изображений. При объединении изображений каждое изображение должно иметь одинаковую экспозицию. Вспышка отключается, пока действует блокировка экспозиции.
Примечание : Приведенное выше панорамное изображение сшивается из изображений, снятых без использования фиксации экспозиции. Существует очевидная разница в яркости изображения в области двух изображений типа «рыбий глаз» и два очевидных синих шва, возникающих в результате разной величины экспозиции двух изображений типа «рыбий глаз».
После установки правильной диафрагмы и компенсации экспозиции выберите в меню Блокировка АЭ > ВКЛ.
[назад]
6. Съемка «рыбий глаз» Фото:
При панорамной съемке строго соблюдайте следующие правила.
1. Сделайте первое изображение «рыбий глаз»
Поместите интересующую точку в центр видоискателя, а затем наполовину нажмите кнопку спуска затвора, чтобы выполнить фокусировку.
2. Сделайте следующее последовательное изображение «рыбий глаз»
Для обеспечения устойчивости штатива держите его одной рукой. Аккуратно поверните панорамную головку другой рукой. Поверните соответствующие градусы и сделайте снимки на 360 градусов.
Примечание : рекомендуется снимать изображения по часовой стрелке, в противном случае вам может потребоваться изменить последовательность при загрузке изображений в Panoweaver.
3. Съемка в режиме «рыбий глаз» сверху/снизу (дополнительно)
Снимайте изображение «рыбий глаз» сверху/снизу при последнем повороте. Для 4 «рыбий глаз» поверните панорамную головку вверх и вниз, чтобы выстрелить в 4-е место. Для 6 рыбий глаз, пожалуйста, стреляйте вверх и вниз в 6-м месте. Вы должны остаться с последней ротацией.
Съемка в другом месте приведет к неправильному сшиванию.
4. Съемка другой сцены
После съемки сцены закройте крышку объектива «рыбий глаз». Переместите все оборудование в другую сцену, которую хотите снять.
Примечание : Выключите «AE Lock Off», иначе скорость затвора и диафрагма будут заблокированы. Процедура съемки аналогична описанной выше.
5. Импорт изображений на компьютер
После завершения импортируйте изображения «рыбий глаз» на компьютер через DC или кард-ридер. Если исходное изображение имеет много шума или недостаточно четкое, его можно отретушировать в любом приложении для редактирования изображений, таком как Photoshop, Fireworks и т. д. Голова — все это незаменимые элементы в процессе панорамной фотографии, но ключевым элементом в создании панорамных фотографий 360*180 градусов является программное обеспечение для панорамы, потому что идеальное панорамное фото может быть создано только с помощью мощного программного обеспечения для панорамы.




Для его сохранения и дальнейшего использования есть возможность записи на компьютерный диск либо на рентгеновскую пленку.


